15 年
手机商铺
公司新闻/正文
105 人阅读发布时间:2025-12-12 13:44
ADAM9是一种跨膜多结构域蛋白,具有解整合素与金属蛋白酶双重功能,通过介导细胞黏附以及对底物蛋白进行胞外域剪切来调控多种细胞表面蛋白的功能。ADAM9蛋白结构由信号肽、前域、金属蛋白酶域、整合素结合相关的解整合素域、富含半胱氨酸的结构域、EGF样结构域、跨膜区及胞内短尾部构成。其中,前域负责维持酶的失活状态,通过去除前肽实现成熟酶的激活;金属蛋白酶域则具备典型的催化活性,可剪切多种细胞膜蛋白;解整合素域参与介导细胞黏附;而胞内区含信号转导相关基序,使ADAM9 能整合外部刺激与胞内反应。ADAM9存在膜结合型与分泌型两种主要同源异构体,使其功能更加多样化 [1]。
在生理过程中,ADAM9参与细胞黏附、迁移、蛋白质剪切及组织重塑等关键事件,并在炎症反应、神经系统发育及视网膜结构维持中发挥作用。其金属蛋白酶介导的外切作用可调控多种受体与黏附分子的剪切,包括 Tie-2、VEGFR2、VCAM-1等,从而影响血管生成、免疫细胞迁移与细胞间通讯。另一方面,ADAM9的表达变化与多种病理状态密切相关,如退行性疾病、组织损伤以及多种肿瘤。在癌症中,ADAM9通过蛋白酶依赖与非依赖机制促进肿瘤进展、耐药性及转移,其高表达往往对应更具侵袭性的临床表现。总体而言,ADAM9兼具结构多样性与功能复杂性,是维持组织稳态与驱动疾病发生的重要分子,其分子特性为开发新型治疗策略提供了关键靶点。
图. ADAM9锚定在膜上时的C型结构
来源:doi:10.3390/ijms21207790
ADAM9作为一种多功能跨膜蛋白,不仅在肿瘤中有重要作用,也在多种免疫与炎症性疾病中发挥关键调控作用,影响炎症反应、免疫细胞功能及疾病进展。其独特的结构特征使其能够参与复杂的信号网络调控,通过酶活性和非酶活性两种机制影响多个关键信号通路。
在AKT信号通路调控中,ADAM9展现出精细的分子调控机制。其金属蛋白酶结构域能够特异性识别并切割多种膜结合前体蛋白,包括生长因子受体配体。例如,在口腔癌和乳腺癌研究中 [2][3],ADAM9通过调控HB-EGF的脱落过程,影响EGFR家族的活化状态,进而激活下游PI3K/AKT信号轴。更重要的是,ADAM9还能通过其解整合素结构域与整合素家族成员发生特异性相互作用,这种相互作用能够改变整合素的构象和功能状态,进而影响FAK/Src信号复合物的组装和活化 [4]。
在NF-κB通路调控方面,ADAM9表现出更为复杂的多层次控制能力。除了通过蛋白酶活性切割TNF家族前体蛋白外,ADAM9还能直接与IKK复合物中的重要调节亚基发生相互作用。这种直接相互作用可能影响IKK复合物的亚细胞定位和活化动力学 [3]。研究还发现,ADAM9参与调控NF-κB与HIF-1α信号通路的交叉对话,这种交叉调控在肿瘤适应缺氧微环境中发挥关键作用 [5]。
ADAM9在肿瘤血管生成中的调控作用表现出显著的时空特异性。它不仅通过切割和释放VEGF家族成员直接促进血管生成,还能通过调控Angiopoietin-Tie2信号系统影响血管稳定性 [3][4]。在胰腺癌研究中,ADAM9的表达水平与血管成熟度呈负相关,提示其可能通过破坏血管正常化过程促进肿瘤恶性进展 [4]。
此外,ADAM9可通过影响多个关键信号节点协调上皮-间质转化(EMT)的调控过程 [6]。除了传统的TGF-β和Wnt信号通路外,ADAM9还参与调控Hippo信号通路效应分子YAP/TAZ的核质穿梭。这种调控可能通过影响细胞机械感应信号来实现,因为ADAM9与整合素的相互作用能够改变细胞对细胞外基质硬度的感知能力。
在治疗抵抗机制方面,ADAM9通过建立复杂的反馈调控网络影响肿瘤细胞的应激反应 [3] [7]。在DNA损伤应答中,ADAM9不仅影响ATM/ATR信号通路的活化,还能通过调控CHK1/2的磷酸化状态影响细胞周期检查点功能。在凋亡调控中,ADAM9通过影响Bcl-2家族蛋白的磷酸化修饰和亚细胞定位,精细调节线粒体外膜通透性 [7]。
ADAM9可通过与整合素(如αvβ3、α9β1)结合,激活PI3K/Akt和MAPK信号通路,促进中性粒细胞的激活和趋化,增强其炎症反应能力。这一过程还涉及CXCR2信号的协同调控,提示ADAM9在炎症相关疾病(如肿瘤微环境、慢性炎症)中促进免疫细胞迁移和激活 [8]。
ADAM9还可通过剪切多种膜结合蛋白(如MICA、TNF-α和IL-6R)破坏免疫监视。例如,ADAM9介导MICA的脱落,产生可溶性MICA(sMICA),后者作为免疫诱饵抑制NK细胞介导的肿瘤细胞清除,从而促进肝癌和结直肠癌等疾病的免疫逃逸 [9]。此外,ADAM9在慢性肝炎和非酒精性脂肪性肝炎(NASH)中通过调控IL-6等炎症因子,加剧纤维化和癌变进程。
ADAM9是一种在生理和病理状态下都具有多重功能的关键蛋白。特别是在癌症领域,它通过蛋白酶依赖和非依赖的多种途径驱动肿瘤恶化,因此,ADAM9成为了药物开发的一个潜在靶点。目前靶向ADAM9的在研药物类型主要为ADC,适应症多为实体肿瘤。以下是ADAM9在研ADC管线:
| 药物 | 药物类型 | 适应症 | 在研机构 | 最高研发阶段 |
|---|---|---|---|---|
| AEX-6003 | ADC | 肿瘤 | ImmunoGen | 临床前 |
| DB1317 | ADC | 晚期恶性实体瘤,去势抵抗性前列腺癌 | 映恩生物制药(苏州) | 临床1期 |
| MGC-028 | ADC | 晚期恶性实体瘤,大肠腺癌、胆管癌、结直肠癌、非小细胞癌等 | MacroGenics | 临床1期 |
| IMGC-936 | ADC | 晚期恶性实体瘤 | MacroGenics, ImmunoGen | 临床1/2期 |
(数据来源于Pharmsnap)
● ADAM9重组蛋白
Recombinant Human Disintegrin and metalloproteinase domain-containing protein 9 (ADAM9),Partial (Active) (CSB-MP618774HU)
(Tris-Glycine gel) Discontinuous SDS-PAGE (reduced) with 5% enrichment gel and 15% separation gel.
Activity: Measured by its binding ability in a functional ELISA. Immobilized Human ADAM9 at 2μg/ml can bind Anti-ADAM9 recombinant antibody (CSB-RA618774MA1HU). The EC50 is 0.9401-1.088 ng/mL.
Recombinant Macaca fascicularis ADAM9 metallopeptidase domain 9 (ADAM9), Partial,
(CSB-MP7133MOVd7)
(Tris-Glycine gel) Discontinuous SDS-PAGE (reduced) with 5% enrichment gel and 15% separation gel.
Recombinant Mouse Disintegrin and metalloproteinase domain-containing protein 9 (Adam9), Partial
(CSB-MP730719MO)
(Tris-Glycine gel) Discontinuous SDS-PAGE (reduced) with 5% enrichment gel and 15% separation gel.
● ADAM9抗体
ADAM9 Antibody (CSB-PA618774ESR1HU)
Western blot
All lanes: Disintegrin and metalloproteinase domain-containing protein 9 antibody at 2μg/ml
Lane 1: Mouse liver tissue
Lane 2: Mouse heart tissue
Secondary
Goat polyclonal to rabbit IgG at 1/10000 dilution
Predicted band size: 91,73 kDa
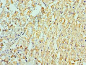
Immunohistochemistry of paraffin-embedded human liver cancer using CSB-PA618774ESR1HU at dilution of 1:100
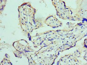
Immunohistochemistry of paraffin-embedded human placenta tissue using CSB-PA618774ESR1HU at dilution of 1:100
● ADAM9 ELISA试剂盒

Human A Disintegrin And Metalloprotease 9, ADAM9 ELISA Kit,CSB-E11904h
参考文献:
[1] Chou, C. W., Huang, Y. K., Kuo, T. T., Liu, J. P., & Sher, Y. P. (2020). An Overview of ADAM9: Structure, Activation, and Regulation in Human Diseases. International journal of molecular sciences, 21(20), 7790.
[2] Buranaphatthana, W., Wu, S., Makeudom, A., Sastraruji, T., Supanchart, C., & Krisanaprakornkit, S. (2021). Involvement of the A disintegrin and metalloproteinase 9 in oral cancer cell invasion.. European journal of oral sciences, e12775 .
[3] Zhou, R., Cho, W., , V., Cheuk, W., So, Y., Wong, S., Zhang, M., Li, C., Sun, Y., Zhang, H., Chan, L., & Tian, M. (2020). ADAM9 Mediates Triple-Negative Breast Cancer Progression via AKT/NF-κB Pathway. Frontiers in Medicine, 7.
[4] Oria, V., Lopatta, P., Schmitz, T., Preca, B., Nyström, A., Conrad, C., Bartsch, J., Kulemann, B., Hoeppner, J., Maurer, J., Bronsert, P., & Schilling, O. (2019). ADAM9 contributes to vascular invasion in pancreatic ductal adenocarcinoma. Molecular Oncology, 13, 456 - 479.
[5] Zhu, L., Zhao, Y., Yu, L., He, X., Wang, Y., Jiang, P., Yu, R., Li, W., Dong, B., Wang, X., & Dong, Y. (2021). Overexpression of ADAM9 decreases radiosensitivity of hepatocellular carcinoma cell by activating autophagy. Bioengineered, 12, 5516 - 5528.
[6] Moriwaki, M., Le, T., Sung, S., Jotatsu, Y., Yang, Y., Hirata, Y., Ishii, A., Chiang, Y., Chen, K., Shigemura, K., & Fujisawa, M. (2022). Relevance of A Disintegrin and Metalloproteinase Domain-Containing (ADAM)9 Protein Expression to Bladder Cancer Malignancy. Biomolecules, 12.
[7] Ueno, M., Shiomi, T., Mochizuki, S., Chijiiwa, M., Shimoda, M., Kanai, Y., Kataoka, F., Hirasawa, A., Susumu, N., Aoki, D., & Okada, Y. (2018). ADAM9 is over‐expressed in human ovarian clear cell carcinomas and suppresses cisplatin‐induced cell death. Cancer Science, 109, 471 - 482.
[8] Amêndola, R., Martin, A., Selistre-De-Araújo, H., Paula-Neto, H., Saldanha-Gama, R., & Barja-Fidalgo, C. (2015). ADAM9 disintegrin domain activates human neutrophils through an autocrine circuit involving integrins and CXCR2. Journal of Leukocyte Biology, 97.
[9] Arai, J., Otoyama, Y., Nozawa, H., Kato, N., & Yoshida, H. (2022). The immunological role of ADAMs in the field of gastroenterological chronic inflammatory diseases and cancers: a review. Oncogene, 42, 549 - 558.