15 年
手机商铺
公司新闻/正文
511 人阅读发布时间:2025-06-27 09:37
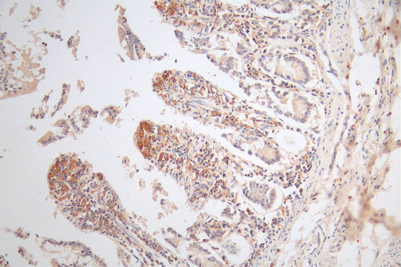
MICA(Major Histocompatibility Complex Class I-Related Chain A)是一种重要的应激诱导型细胞表面糖蛋白,属于MHC I类相关蛋白家族。其基因位于人类6号染色体的MHC区域,紧邻HLA-B locus,编码的蛋白由 α1、α2、α3结构域及跨膜区和胞内区组成。MICA蛋白主要表达于上皮细胞、内皮细胞和某些肿瘤细胞表面,而在正常外周血淋巴细胞中不表达 [1,2]。
作为NKG2D(Natural Killer Group 2D)受体的主要配体,MICA在机体免疫监视中发挥关键作用。NKG2D广泛表达于NK细胞、CD8+ T细胞和γδ T细胞表面,当MICA与NKG2D结合后,能激活这些细胞的细胞毒作用,诱导对异常细胞的杀伤 [3,4]。值得注意的是,MICA基因具有高度多态性,目前已报道的等位基因超过400 种,这种多态性可能影响其与NKG2D的结合亲和力及免疫应答强度 [5,6]。
MICA的表达受细胞应激信号调控,如DNA损伤、氧化应激或恶性转化等。在肿瘤细胞中,基因组不稳定性常导致MICA基因的转录激活,使其在细胞表面高表达[7,8]。然而,肿瘤细胞可通过蛋白酶解作用剪切MICA分子,使其从细胞表面脱落形成可溶性MICA(sMICA)。研究表明,ADAM10、ADAM17等金属蛋白酶参与了这一过程,剪切位点位于MICA的α3结构域 [2,8]。sMICA不仅能降低肿瘤细胞表面NKG2D配体的密度,还能与循环中的NKG2D结合,导致受体内化和降解,从而削弱NK细胞和T细胞的抗肿瘤活性 [4,8]。
NKG2D与MICA的结合启动的信号通路主要依赖于接头蛋白DAP10(DNAX-Activating Protein of 10 kDa)。DAP10含有一个ITAM(Immunoreceptor Tyrosine-Based Activation Motif)样基序,与NKG2D结合后,通过招募PI3K(Phosphatidylinositol 3-Kinase)和Akt激酶,激活下游的MAPK(Mitogen-Activated Protein Kinase)和NF-κB(Nuclear Factor kappa-B)信号通路,最终促进细胞毒性分子(如穿孔素、颗粒酶)的释放和细胞因子(如IFN-γ)的分泌 [3,4]。
在NK细胞中,该信号通路与抑制性受体(如KIRs)的平衡决定了NK细胞的活化状态。当MICA高表达且抑制性信号较弱时,NK细胞被充分激活,发挥抗肿瘤作用 [8]。而在肿瘤微环境中,sMICA的积累可竞争性结合NKG2D,干扰这一信号通路,导致免疫逃逸 [2,8]。
● 乳腺癌:在三阴性乳腺癌(TNBC)中,MICA和MICB的表达水平与NK细胞浸润呈正相关。研究发现,TNBC患者血清中sMICA水平升高与不良预后相关,而miR-486-5p可通过靶向调控MICA的表达,增强NK细胞对肿瘤细胞的杀伤作用 [7,9]。
● 肾癌与黑色素瘤:在肾癌细胞表面的高表达可作为NK细胞攻击的靶点,但肿瘤细胞通过脱落MICA逃避免疫监视。在黑色素瘤中,MICA的表达与肿瘤进展和转移密切相关 [8,10]。
● 其他肿瘤:在结直肠癌、卵巢癌、胰腺癌等多种实体瘤中均有异常表达,其脱落水平可作为评估肿瘤进展和预后的生物标志物 [1,2]。
肾移植研究表明,供受者之间的MICA错配与移植肾存活率降低显著相关。术前存在抗MICA供者特异性抗体(DSA)的患者,术后抗体介导的排斥反应(ABMR)发生率显著升高,而术后新发的抗MICA DSA与移植肾失功风险增加相关 [2,6]。此外,MICA抗体与HLA抗体在移植排斥中存在协同作用,两者共同存在时ABMR风险显著升高 [6]。
2025年2月,浙江大学团队开发的靶向MICA/B α3表位的mRNA疫苗mCM10-L在《Cell Reports Medicine》发表,通过阻断MICA/B α1/2脱落激活免疫细胞,显著抑制多种肿瘤转移 [11]。与此同时,多条MICA靶向药物正处于临床前或临床研究阶段,以实体瘤为主要适应症。部分在研管线列举如下表:
| 药物 | 作用机制 | 药物类型 | 在研适应症 | 在研机构 | 最高研发阶段 |
| DM-919 | MICA抑制剂 | MICB抑制剂 | 单克隆抗体 | 晚期恶性实体瘤 | 丹码(苏州)生物医药科技有限公司 | 临床1期 |
| CLN-619 | MICA抑制剂 | MICB抑制剂 | 单克隆抗体 | 复发性多发性骨髓瘤 | 晚期恶性实体瘤 | 非小细胞肺癌 | 胰腺癌 | Cullinan Oncology LLC | 临床1期 |
| AHA-1031 | MICA抑制剂 | MICB抑制剂 | 双特异性抗体 | STK11突变非小细胞肺癌 | The University of Texas Southwestern Medical Center | Aakha Biologics | Alloy Therapeutics, Inc. | 临床前 |
| FT-836 | MICA抑制剂 | MICB抑制剂 | CAR-T | 实体瘤 | 肿瘤 | Fate Therapeutics, Inc. | Dana-Farber Cancer Institute, Inc. | 临床前 |
| MICA/BxCD3(Xencor Inc.) | CD3刺激剂 | MICA抑制剂 | MICB抑制剂 | 双特异性T细胞结合器 | 肿瘤 | Xencor, Inc. | 临床前 |
| SYB-010 | MICA抑制剂 | MICB抑制剂 | 单克隆抗体 | 肿瘤 | CanCure LLC | 临床前 |
| Tri-modal CAR+TCR+hnCD16+iPSC-derived T cells(Fate) | BCMA抑制剂 | CD16a调节剂 | MICA抑制剂 | MICB抑制剂 | NY-ESO-1抑制剂 | 诱导性多能干细胞 | CAR-T | 实体瘤 | Fate Therapeutics, Inc. | 临床前 |
| JZC01 | MICA抑制剂 | VEGFR2拮抗剂 | 双特异性抗体 | 肿瘤 | 中国药科大学 | 临床前 |
| BSI-120 | MICA抑制剂 | MICB抑制剂 | 单克隆抗体 | 肿瘤 | 博奥信生物技术(南京)有限公司 | 临床前 |
| IPH4301 | DNA抑制剂 | MICA抑制剂 | ADC | 肿瘤 | Innate Pharma SA | 临床前 |
| IPH-43 | DNA抑制剂 | MICA抑制剂 | ADC | 实体瘤 | AstraZeneca PLC | 临床前 |
| B10G5 | MICA抑制剂 | MICB抑制剂 | 自然杀伤细胞调节剂 | 单克隆抗体 | 多发性骨髓瘤 | 转移性前列腺癌 | Severance Hospital | CanCure LLC | 临床前 |
| ADI-925 | MICA抑制剂 | MICB抑制剂 | ULBP1抑制剂 | 通用型CAR-T | 实体瘤 | Adicet Therapeutics, Inc. | 临床前 |
| PDL1sFv/MICAe | MICA抑制剂 | PDL1抑制剂 | 抗体 | 融合蛋白 | 肿瘤 | Clemson University | 临床前 |
| GenSci-P107 | MICA抑制剂 | MICB抑制剂 | 双特异性抗体 | 肝细胞癌 | 非小细胞肺癌 | 结直肠癌 | 胃癌 | 长春金赛药业有限责任公司 | 临床前 |
MICA作为NKG2D的关键配体,在肿瘤免疫监视和移植排斥中扮演重要角色。其独特的表达调控和脱落机制为开发新型免疫治疗药物提供了靶点。华美生物提供MICA蛋白、抗体、ELISA试剂盒,助力您在MICA免疫抑制作用机制或药物开发方向的研究。
● MICA重组蛋白
Recombinant Human MHC Class I chain-related protein (MICA), partial (Active); CSB-MP5605HU


Recombinant Human MHC Class I chain-related protein (MICA), partial (Active); CSB-MP5606HU


● MICA抗体
MICA Recombinant Monoclonal Antibody; CSB-RA574653A0HU


MICA Antibody; CSB-PA013806ESR2HU


● MICA ELISA试剂盒

Human major histocompatibility complex class I chain-related gene A (MICA) ELISA Kit
CSB-E13782h
参考文献:
[1] Zou Y, et al. Antibodies against MICA antigens and kidney-transplant rejection. The New England Journal of Medicine, 2007.
[2] Carapito R, et al. The MHC class I MICA gene is a histocompatibility antigen in kidney transplantation. Nature Medicine, 2022.
[3]Bauer S, et al. Activation of NK cells and T cells by NKG2D, a receptor for stress-inducible MICA. Science, 1999.
[4] Raulet DH, et al. Regulation of ligands for the NKG2D activating receptor. Annual Review of Immunology, 2013.
[5] Klussmeier A, et al. High-throughput MICA/B genotyping of over two million samples: workflow and allele frequencies. Frontiers in Immunology, 2020.
[6] Zou Y, et al. Antibodies against MICA antigens and kidney-transplant rejection: reply. The New England Journal of Medicine, 2008.
[7] Abdel-Latif M, et al. A new quercetin glycoside enhances TNBC immunological profile through TP53/miR-155/MICA/ULBP2. Annals of Oncology, 2019.
[8] Ferrari de Andrade L, et al. Antibody-mediated inhibition of MICA and MICB shedding promotes NK cell-driven tumor immunity. Science, 2018.
[9] Elkhouly A, et al. miR-486-5p counteracts the shedding of MICA/B and CD155 immune-ligands in TNBC patients. Annals of Oncology, 2019.
[10] Badrinath S, et al. Promoting T and NK cell attack: preserving tumor MICA/B by vaccines. Cell Research, 2022.
[11] Rui Wang, et al. An epitope-directed mRNA vaccine inhibits tumor metastasis through the blockade of MICA/B α1/2 shedding. Cell Rep Med, 2025.