15 年
手机商铺
公司新闻/正文
514 人阅读发布时间:2025-09-05 13:29
靶点:ALKBH1
应用:急性髓性白血病(AML)的治疗
来源:ALKBH1 drives tumorigenesis and drug resistance via tRNA decoding reprogrammingand codon‑biasedtranslation.Cancer Discov,2025 Aug 04

图源:10.1158/2159-8290.CD-24-1043[1]
陈建军、邓晓岚、何川和沈超团队在《Cancer Discovery》发表研究,揭示ALKBH1通过重塑tRNA修饰和偏好密码子翻译,驱动急性髓性白血病(AML)发生及耐药的机制。研究发现,ALKBH1在AML中高表达,尤其在白血病干细胞中。ALKBH1将tRNA上的m5C转化为f5C,扩展其解码范围,优先翻译含偏好密码子的mRNA。ALKBH1缺失导致翻译效率下降,抑制相关基因表达。研究提出“表观遗传翻译组学”概念,即通过调控RNA修饰影响密码子解码,快速调整蛋白翻译。靶向ALKBH1联合BCL2抑制剂venetoclax显著提高白血病细胞对药物的敏感性,为AML治疗提供新策略。
靶点:POSH/SH3RF1
应用:自闭症谱系障碍的研究与治疗
来源:POSH undergoes phase separation and co-condensation with SHANK2/3 to regulate spine development.Protein& Cell,04 August 2025

图源:doi.org/10.1093/procel/pwaf066[2]
中科院遗传与发育生物学研究所许执恒课题组在《Protein & Cell》发表研究,揭示了自闭症相关蛋白POSH和SHANK2/3通过相分离调控突触发育的新机制。研究发现,POSH蛋白能够发生液 - 液相分离,并将SHANK2/3蛋白募集到共同凝集物中。POSH的天然无序区中的脯氨酸富集基序(PRMs)与串联SH3结构域的协同作用是驱动其相分离的核心。POSH与SHANK2/3的互作区也包含PRMs,使其能够被精准招募到POSH凝集物中。在Posh基因缺失的海马神经元中,回补能正常相分离的POSH可以恢复SHANK2/3蛋白在突触后的定位、树突棘密度及形态,而破坏POSH相分离能力的突变体则无效。这一研究不仅揭示了蛋白相分离在突触发育中的调控机制,还为自闭症谱系障碍的病理机制及治疗提供了新见解。
靶点:IRF7
应用:抗NMDAR脑炎的研究与治疗
来源:IRF7 in peripheral monocytes drives BBB disruption in anti-NMDAR encephalitis.Brain Behav Immun,2025 Jul 28

图源:10.1016/j.bbi.2025.07.026[3]
中山大学附属第三医院脑病团队在《Brain, Behavior, and Immunity》发表研究,揭示抗NMDAR脑炎中血脑屏障(BBB)破坏的新机制。研究发现,抗NMDAR脑炎患者血脑屏障破坏程度与外周单核细胞数量呈正比,且单核细胞中IRF7基因表达显著升高。通过构建抗NMDAR脑炎小鼠模型,研究团队发现IRF7敲除小鼠不仅抗NMDAR抗体产生减少,行为学也得到改善,且血脑屏障相关蛋白Claudin-5表达增加,破坏指标显著缓解。体外实验进一步表明,IRF7可能通过调控Tmp1/Mmp8/IL1b等基因表达影响血脑屏障完整性。该研究首次阐明了单核细胞IRF7通路在抗NMDAR脑炎中的作用机制,为开发精准诊断和新型治疗策略提供了理论基础。
靶点:HK2
应用:单纯疱疹病毒性角膜炎(HSK)治疗的新靶点
来源:Hexokinase-2 as a Therapeutic Target: Alleviating Herpes Simplex Keratitis Through Metabolic Reprogramming.Adv Sci (Weinh),2025 Jun 20

图源:10.1002/advs.202503690[4]
广州医科大学附属眼视光医院陈蔚教授团队联合中国科学院杭州医学研究所罗雨虹研究员在《Advanced Science》发表研究,揭示了单纯疱疹病毒性角膜炎(HSK)的新代谢机制。研究发现,HSV-1病毒感染角膜后,会诱导角膜细胞发生类似癌症Warburg效应的代谢重编程,增强有氧糖酵解以支持病毒复制。研究首次证实,靶向糖酵解关键酶己糖激酶2(HK2)可有效抑制HSV-1复制,并促进受损角膜愈合。实验中,HK2抑制剂氯尼达明显著降低了病毒滴度,减少了角膜溃疡面积,提高了角膜透明度。这一发现为HSK的治疗提供了新靶点,有望成为传统抗病毒药物的有力补充,降低由HSV引发的失明风险。
靶点:OFD1
应用:胰腺癌治疗的新靶点
来源:OFD1 inhibition induces BRCAness to create a therapeutic vulnerability to PARP inhibition in pancreatic cancer.Nat Commun,2025 Aug 05

图源:10.1038/s41467-025-62295-8[5]
上海交通大学钟清、汤在明团队与沈柏用课题组合作在《Nature Communications》发表研究,揭示中心体蛋白OFD1可诱导胰腺癌的“BRCAness”表型,增强其对PARP抑制剂的敏感性。研究发现,OFD1在胰腺癌组织中高表达,与E2F4相互作用,抑制DREAM复合体形成,维持BRCA1基因的正常转录。抑制OFD1表达或破坏其与E2F4的相互作用,可降低BRCA1蛋白水平,导致同源重组修复缺陷,从而增强细胞对PARP抑制剂的敏感性。体内实验表明,OFD1敲低联合PARP抑制剂可显著抑制肿瘤生长并延长生存期。该研究为胰腺癌治疗提供了新的靶向策略,有望拓展PARP抑制剂的应用范围。
靶点:SIRT6
应用:糖尿病血管并发症治疗的新靶点
来源:Translocation of SIRT6 promotes glycolysis reprogramming to exacerbate diabetic angiopathy.Redox Biol,2025 Sep

图源:10.1016/j.redox.2025.103736[6]
哈尔滨医科大学团队在《Redox Biology》发表研究,揭示SIRT6转位促进糖尿病血管病变的机制。研究发现,高糖高脂环境下,血管平滑肌细胞(VSMC)中的SIRT6从细胞核转位至胞质,与糖酵解关键酶ENO3相互作用并去乙酰化,增强其活性,触发糖酵解重编程,加剧糖尿病血管病变。外源性_硫_化_氢_(H₂S)可通过诱导SIRT6第141位半胱氨酸的S - 硫巯基化修饰,阻断SIRT6 - ENO3相互作用,抑制病理性糖酵解,减轻VSMC功能障碍。该研究为糖尿病血管并发症的治疗提供了新的靶点和理论依据。
靶点:ELAPOR1
应用:男性不育症的研究
来源:ELAPOR1 is a copper-dependent tethering factor driving proacrosomal vesicle fusion during acrosome biogenesis.Proc Natl Acad Sci U S A,2025 Aug 05

图源:10.1073/pnas.2501302122[7]
北京生命科学研究所王凤超实验室与郑三多实验室合作在《PNAS》发表研究,揭示ELAPOR1作为铜离子依赖的新型膜拴系因子,驱动顶体前体囊泡(PAVs)融合形成精子顶体的分子机制。研究发现,ELAPOR1在睾丸中高表达,其敲除导致雄性小鼠不育,精子呈现头部异常和顶体缺失等表型。电镜分析显示,ELAPOR1通过“头对头”的同源相互作用形成四聚体,依赖铜离子介导PAVs融合。此外,ELAPOR1还与SNARE蛋白STX12相互作用,协同调控膜融合过程。该研究不仅揭示了精子顶体形成的分子机制,还为男性不育症的研究提供了重要线索。
靶点:hMTR4/MTREX
应用:潜在抗癌靶点
来源:hMTR4 promotes p53 protein degradation and tumor growth by accelerating rRNA processing and regulating the RPL5-MDM2 axis.Cell Death Differ,2025 Jul 13

图源:10.1038/s41418-025-01541-4[8]
中山大学庄诗美团队在《Cell Death and Differentiation》发表研究,揭示RNA外切体辅因子hMTR4通过调控RPL5-MDM2-p53信号轴促进肿瘤生长。研究发现,hMTR4通过增强rRNA加工,增加成熟5.8S rRNA与核糖体蛋白RPL5的结合,将RPL5扣留在核仁,减少其与MDM2的互作,从而促进MDM2对p53的泛素化降解,抑制p53功能,进而促进癌细胞增殖和肿瘤生长。小鼠移植瘤实验表明,沉默hMTR4可抑制肿瘤生长,提示其为潜在抗癌靶点。临床样本分析显示,hMTR4在多种癌症中高表达,且与RPL5表达水平呈正相关,其高表达与肿瘤复发显著相关。
靶点:BBOX1
应用:转移性肾癌和乳腺癌的靶向治疗
来源:BBOX1 is a Metabolic Checkpoint that Mediates Metastatic Cancer Cell Evasion from Immunosurveillance by Natural Killer Cells.Cancer Res,2025 Jul 31

图源:10.1158/0008-5472.CAN-24-4547[9]
中国科学技术大学张传杰团队在《Cancer Research》上发表研究,鉴定BBOX1为转移性癌的代谢免疫检查点。研究通过代谢文库筛选和高通量测序,发现BBOX1在转移性肾癌和乳腺癌细胞中高表达,其负责催化肉碱生物合成,影响能量代谢。BBOX1阳性癌细胞通过分泌肉碱,扰乱NK细胞的RhoA信号通路,抑制免疫突触形成,实现免疫逃逸。实验表明,BBOX1抑制剂可显著遏制肾癌和乳腺癌的肺转移,并增强NK细胞疗法效果。该研究为转移性癌症的靶向治疗和免疫干预提供了新思路。
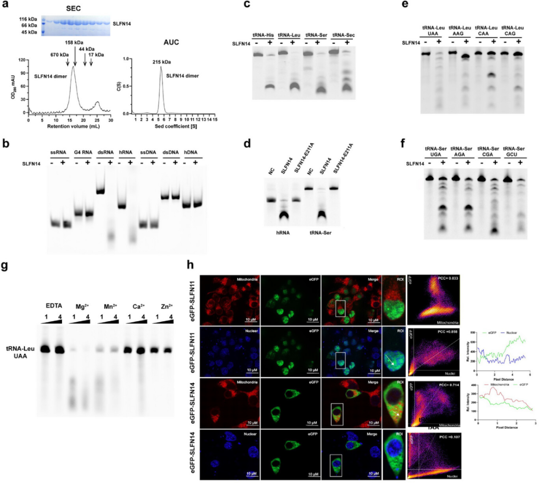
靶点:SLFN14
应用:SLFN14抗病毒机制的研究
来源:Human Schlafen 14 Cleavage of Short Double-stranded RNAs underpins its Antiviral Activity.Adv Sci (Weinh),2025 Jul 11

图源:10.1002/advs.202501727[10]
中国医学科学院病原生物学研究所崔胜、郝炜与中科院物理所孙大鹏、王玉梅合作,在《Advanced Science》上发表了题为“Human Schlafen 14 Cleavage of Short Double-stranded RNAs underpins its Antiviral Activity”的研究论文。研究发现,SLFN14蛋白能特异性识别并切割RNA双链区域,如发夹结构RNA的stem区域,以环形二聚体形式存在,其底物口袋中关键氨基酸位点与血小板减少症相关突变位点吻合。SLFN14通过切割病毒偏好密码子tRNA及抑制病毒程序性移码,抑制HIV-1复制。该研究揭示了SLFN14的抗病毒机制,为理解slfn家族基因功能及干扰素激活基因的抗病毒机制提供了重要依据。
推荐产品
|
靶点 |
重组蛋白 |
货号 |
|
ALKBH1 |
Recombinant Human Nucleic acid dioxygenase ALKBH1 (ALKBH1) |
CSB-MP614439HU |
|
BBOX1 |
Recombinant Human Gamma-butyrobetaine dioxygenase (BBOX1) |
CSB-EP530450HU |
|
ELAPOR1 |
Recombinant Human Endosome/lysosome-associated apoptosis and autophagy regulator 1(ELAPOR1), partial |
CSB-YP764944HU |
|
HK2 |
Recombinant Human Hexokinase-2 (HK2), partial |
CSB-MP010469HU |
|
IRF7 |
Recombinant Human Interferon regulatory factor 7 (IRF7) |
CSB-EP011822HU |
|
MTREX |
Recombinant Human Superkiller viralicidic activity 2-like 2 (SKIV2L2), partial |
CSB-MP021359HU |
|
OFD1 |
Recombinant Human Oral-facial-digital syndrome 1 protein (OFD1), partial |
CSB-MP016289HU |
|
SH3RF1 |
Recombinant Human E3 ubiquitin-protein ligase SH3RF1 (SH3RF1), partial |
CSB-MP773800HU |
|
SIRT6 |
Recombinant Human NAD-dependent protein deacetylase sirtuin-6 (SIRT6) |
CSB-EP854057HU |
|
SLFN14 |
Recombinant Human Schlafen family member 14 (SLFN14), partial |
|
参考文献:
[1]ALKBH1 drives tumorigenesis and drug resistance via tRNA decoding reprogrammingand codon‑biasedtranslation.Cancer Discov,2025 Aug 04
[2]POSH undergoes phase separation and co-condensation with SHANK2/3 to regulate spine development.Protein& Cell,04 August 2025
[3]IRF7 in peripheral monocytes drives BBB disruption in anti-NMDAR encephalitis.Brain Behav Immun,2025 Jul 28
[4]Hexokinase-2 as a Therapeutic Target: Alleviating Herpes Simplex Keratitis Through Metabolic Reprogramming.Adv Sci (Weinh),2025 Jun 20
[5]OFD1 inhibition induces BRCAness to create a therapeutic vulnerability to PARP inhibition in pancreatic cancer.Nat Commun,2025 Aug 05
[6]Translocation of SIRT6 promotes glycolysis reprogramming to exacerbate diabetic angiopathy.Redox Biol,2025 Sep
[7]ELAPOR1 is a copper-dependent tethering factor driving proacrosomal vesicle fusion during acrosome biogenesis.Proc Natl Acad Sci U S A,2025 Aug 05
[8]hMTR4 promotes p53 protein degradation and tumor growth by accelerating rRNA processing and regulating the RPL5-MDM2 axis.Cell Death Differ,2025 Jul 13
[9]BBOX1 is a Metabolic Checkpoint that Mediates Metastatic Cancer Cell Evasion from Immunosurveillance by Natural Killer Cells.Cancer Res,2025 Jul 31
[10]Human Schlafen 14 Cleavage of Short Double-stranded RNAs underpins its Antiviral Activity.Adv Sci (Weinh),2025 Jul 11