前沿靶点速递:每周医学研究精选(四)
靶点:KISS1R
应用:治疗生殖疾病的良好靶点
来源:Structural basis for hormone recognition and distinctive Gq protein coupling by the kisspeptin receptor. Cell Rep, 2024 Jun 26.
靶点:AHR
应用:系统性红斑狼疮(SLE)的治疗靶点
来源:Interferon subverts an AHR-JUN axis to promote CXCL13 + T cells in lupus. Nature, 2024 Jul 10.
靶点:CCN3
应用:新型治疗性促骨生成激素
来源:A maternal brain hormone that builds bone. Nature. 2024 Jul 10.
靶点:LMP1
应用:对EBV相关癌症治疗的潜在靶点
来源:Assembly and activation of EBV latent membrane protein 1. Cell. 2024 Jul 4.
靶点:NCOA4
应用:脓毒症治疗的潜在靶点
来源:Extracellular NCOA4 is a mediator of septic death by activating the AGER-NFKB pathway. Autophagy. 2024 Jul 4.
靶点:ZBP1
应用:病毒防治相关建在靶点
来源:ZBP1 condensate formation synergizes Z-NAs recognition and signal transduction. Cell Death Dis. 2024 Jul 9.
靶点:STAT5
应用:胰腺导管腺癌(PDAC)的新治疗靶点
来源:Pancreatic STAT5 activation promotes Kras G12D -induced and inflammation-induced acinar-to-ductal metaplasia and pancreatic cancer. Gut. 2024 Jul 01.
参考文献:
[1] Structural basis for hormone recognition and distinctive Gq protein coupling by the kisspeptin receptor. Cell Rep, 2024 Jun 26. 10.1016/j.celrep.2024.114389.
[2] Interferon subverts an AHR-JUN axis to promote CXCL13 + T cells in lupus. Nature, 2024 Jul 10. 10.1038/s41586-024-07627-2.
[3] A maternal brain hormone that builds bone. Nature. 2024 Jul 10. 10.1038/s41586-024-07634-3.
[4] Assembly and activation of EBV latent membrane protein 1. Cell. 2024 Jul 4. 10.1016/j.cell.2024.06.021.
[5] Extracellular NCOA4 is a mediator of septic death by activating the AGER-NFKB pathway. Autophagy. 2024 Jul 4. 10.1080/15548627.2024.2372215.
[6] ZBP1 condensate formation synergizes Z-NAs recognition and signal transduction. Cell Death Dis. 2024 Jul 9. 10.1038/s41419-024-06889-y.
[7] Pancreatic STAT5 activation promotes Kras G12D -induced and inflammation-induced acinar-to-ductal metaplasia and pancreatic cancer. Gut. 2024 Jul 01. 10.1136/gutjnl-2024-332225
应用:治疗生殖疾病的良好靶点
来源:Structural basis for hormone recognition and distinctive Gq protein coupling by the kisspeptin receptor. Cell Rep, 2024 Jun 26.

(图源:10.1016/j.celrep.2024.114389.[1])
中国科学院上海药物研究所的段佳团队和徐华强团队发表在《细胞报告》的一项研究发现,KISS1R信号通路是下丘脑-垂体-性腺轴的重要调节因素,持续给予kisspeptin可以恢复黄体生成素的脉冲性分泌,表明KISS1R可能是治疗生殖疾病的良好靶点。为了解决kisspeptin易被代谢降解的问题,研究团队开发了类似物TAK-448,展现出比kisspeptin更好的生物活性和作用时间。通过解析KISS1R与KP-10和TAK-448的复合物结构,研究揭示了多肽激动剂与KISS1R的相互作用机制,为基于结构的药物设计提供了基础。此外,研究还发现了KISS1R的外周环和TM6区域在受体激活和Gq蛋白偶联中的关键作用。这些成果为生殖和癌症治疗领域的挑战提供了新的见解。靶点:AHR
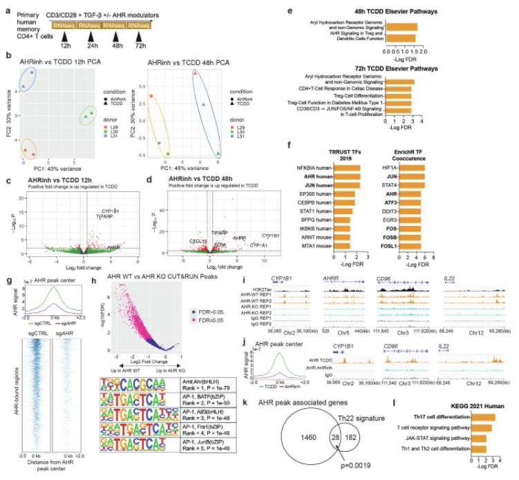
应用:系统性红斑狼疮(SLE)的治疗靶点
来源:Interferon subverts an AHR-JUN axis to promote CXCL13 + T cells in lupus. Nature, 2024 Jul 10.

(图:T 细胞中 AHR 激活的转录组和表观遗传学评估以及与 AP-1 家族成员的关联[2])
最近发表在《自然》杂志上的研究揭示了系统性红斑狼疮(SLE)治疗的一个全新靶点。科学家们发现,芳香烃受体(AHR)的激活不足是导致SLE疾病恶化的关键因素。通过激活AHR受体,可以促进一种名为Th22的T细胞增殖,这些细胞有助于加速SLE引起的损伤愈合,同时减少致病性自身抗体的产生。实验中,将AHR激活分子引入狼疮患者血液,成功将诱发狼疮的细胞重新编程为Th22细胞,这为开发更精准、副作用更小的SLE治疗方法提供了新方向。研究团队目前正在研究如何安全有效地将AHR激活分子应用于人体治疗。靶点:CCN3
应用:新型治疗性促骨生成激素
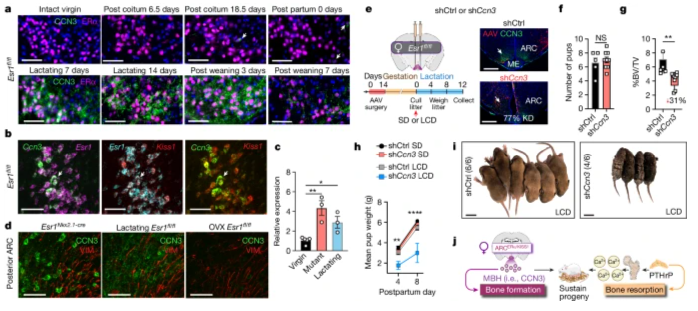
来源:A maternal brain hormone that builds bone. Nature. 2024 Jul 10.

(图:哺乳期雌性动物需要母体大脑中的 CCN3 来维持后代的生存[3])
最近《Nature》杂志上的研究揭示了哺乳期母体骨质流失问题的新解决方案:脑源性细胞通信网络因子3(CCN3)。这种由下丘脑弓状核的KISS1神经元分泌的激素,能有效促进骨骼生成,对抗哺乳期雌激素下降导致的骨质流失。研究发现,CCN3通过作用于骨骼干细胞,增加其数量和成骨潜力,加速骨折修复,对年轻和年老小鼠均有积极影响。哺乳期母体中CCN3的表达显著增加,其减少会导致骨质流失和后代生存困难。这一发现不仅为骨质疏松症治疗提供了新方向,还强调了哺乳期母体骨骼健康管理的重要性,CCN3的临床应用潜力巨大,有望成为新型治疗性促骨生成激素。靶点:LMP1
应用:对EBV相关癌症治疗的潜在靶点
来源:Assembly and activation of EBV latent membrane protein 1. Cell. 2024 Jul 4.

(图源:10.1016/j.cell.2024.06.021.[4])
中国科学院生物物理所的高璞、高光侠、张立国等研究者在《Cell》杂志发表的突破性研究中,揭示了EB病毒致癌蛋白LMP1独特的自组装和激活机制。研究发现,LMP1不依赖配体,通过自身寡聚化形成filament状结构,高效招募下游信号因子,激活致癌信号。该结构的发现不仅阐释了LMP1如何在EBV相关肿瘤中发挥作用,还为开发新的干预策略提供了可能,例如靶向LMP1的新药设计。这项工作解决了近40年来关于LMP1组装激活的科学难题,对EBV相关癌症的治疗具有重要意义。靶点:NCOA4
应用:脓毒症治疗的潜在靶点
来源:Extracellular NCOA4 is a mediator of septic death by activating the AGER-NFKB pathway. Autophagy. 2024 Jul 4.

(图源:10.1080/15548627.2024.2372215.[5])
近期,《Autophagy》杂志发表了一项突破性研究,揭示了细胞外核受体辅激活因子4(NCOA4)作为脓毒症中的新型炎症介质。脓毒症是一种可能致命的病状,通常由细菌或病毒感染触发,涉及免疫反应失调。这项研究首次证实,在脓毒症中,活化的巨噬细胞和单核细胞能将NCOA4释放到细胞外,通过AGER/RAGE受体激活炎症反应,促进脓毒症死亡过程。实验性脓毒症小鼠模型显示,抑制NCOA4活性或AGER功能能延长生存时间并减少器官损伤。在脓毒症患者中,血浆NCOA4水平与器官功能障碍评分相关联,表明细胞外NCOA4可能成为治疗的潜在靶点。这项由广州医科大学附属第三医院DAMP研究中心的柳娇及其合作团队完成的研究,为理解自噬受体在免疫反应中的作用提供了新见解,并为脓毒症治疗策略的开发开辟了新方向。靶点:ZBP1
应用:病毒防治相关建在靶点
来源:ZBP1 condensate formation synergizes Z-NAs recognition and signal transduction. Cell Death Dis. 2024 Jul 9.

(图源:缺乏 IQIG motif 的 ZBP1 会阻碍坏死和抗病毒免疫.[6])
复旦大学李继喜教授团队在《Cell Death & Disease》上发表的研究揭示了细胞死亡关键蛋白ZBP1在抗病毒免疫中的新作用机制。该研究发现ZBP1的Zαβ结构域能结合不同长度的d(CG)n配体,并在病毒感染后形成液液相分离的凝聚体。同时,ZBP1的RHIM结构域可形成淀粉样凝聚体,其核心基序突变会抑制纤维形成,影响细胞程序性坏死和抗病毒信号传导。研究指出,ZBP1通过不同结构域形成凝聚体或淀粉样结构,并协同作用以识别Z型核酸和转导下游信号,在免疫应答中发挥关键作用。这一发现为理解ZBP1在固有免疫反应中的功能提供了新的分子机制,为相关疾病的防治提供了潜在靶点。靶点:STAT5
应用:胰腺导管腺癌(PDAC)的新治疗靶点
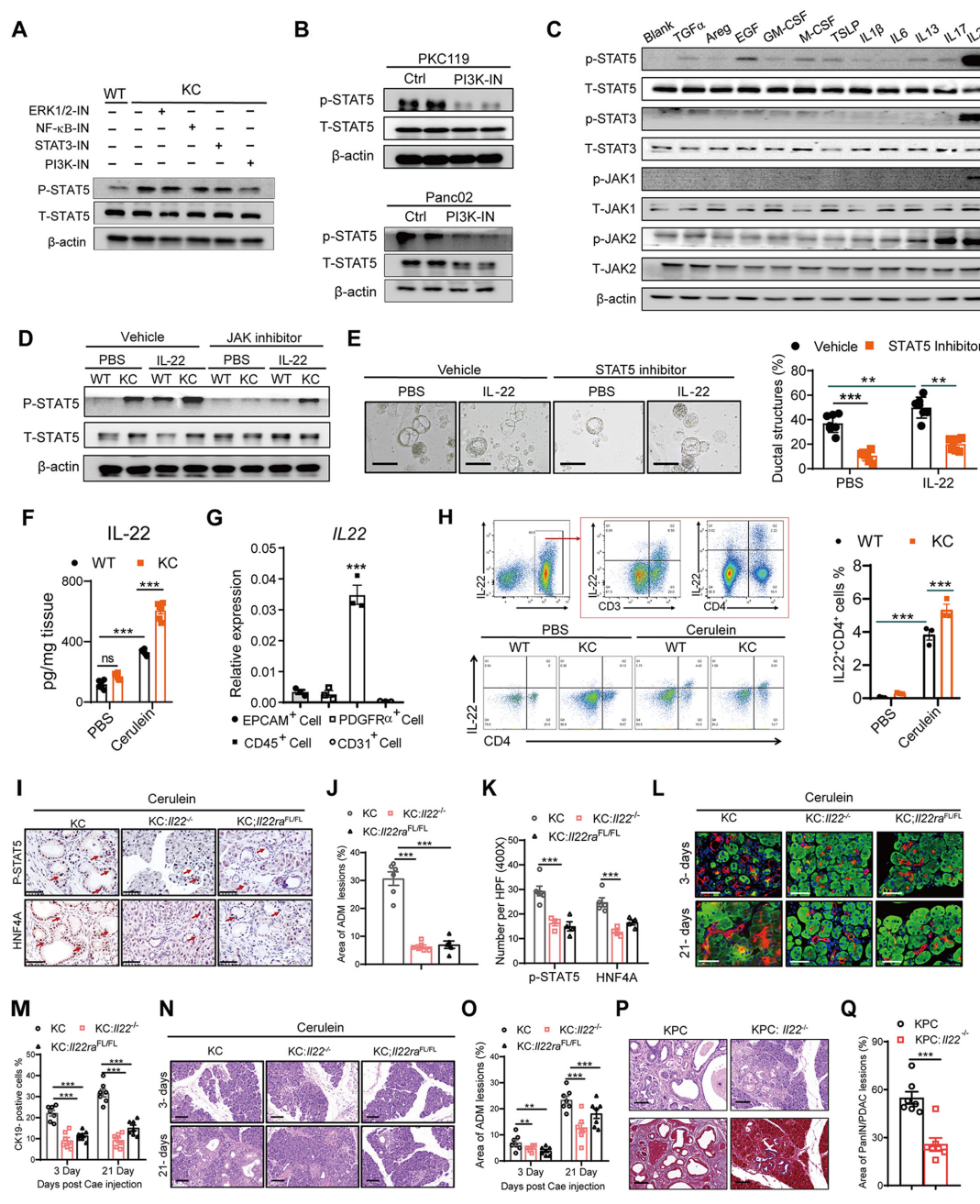
来源:Pancreatic STAT5 activation promotes Kras G12D -induced and inflammation-induced acinar-to-ductal metaplasia and pancreatic cancer. Gut. 2024 Jul 01.

(图:KrasG12D 突变和 IL-22 促进了胰腺 STAT5 的激活.[7])
上海中医药大学附属龙华医院、复旦大学上海医学院和上海交通大学附属仁济医院的联合研究团队在《Gut》杂志上发表的研究揭示了信号转导与转录激活因子5(STAT5)在胰腺导管腺癌(PDAC)早期发展中的关键作用。研究发现,STAT5通过调节胰腺细胞的能量代谢和腺泡-导管化生(ADM)转化,在PDAC的起始和进展中发挥重要作用。通过分析胰腺癌患者样本,团队发现肿瘤细胞中STAT5的激活与不良预后相关联,且在两种胰腺癌小鼠模型中,STAT5的表达和磷酸化水平在癌变早期和进展期显著增加。进一步的基因敲除实验显示,胰腺细胞中STAT5的缺失能显著延缓PDAC的进展和ADM形成。RNA测序分析揭示了STAT5缺失导致多个能量代谢相关信号通路的下调,特别是脂质代谢和氧化磷酸化途径。此外,STAT5的活化通过直接转录调控转录因子HNF4,并且炎症信号IL-22和KRASG12D突变均能促进STAT5的激活。这些发现为靶向STAT5开发治疗PDAC的新策略提供了科学依据。参考文献:
[1] Structural basis for hormone recognition and distinctive Gq protein coupling by the kisspeptin receptor. Cell Rep, 2024 Jun 26. 10.1016/j.celrep.2024.114389.
[2] Interferon subverts an AHR-JUN axis to promote CXCL13 + T cells in lupus. Nature, 2024 Jul 10. 10.1038/s41586-024-07627-2.
[3] A maternal brain hormone that builds bone. Nature. 2024 Jul 10. 10.1038/s41586-024-07634-3.
[4] Assembly and activation of EBV latent membrane protein 1. Cell. 2024 Jul 4. 10.1016/j.cell.2024.06.021.
[5] Extracellular NCOA4 is a mediator of septic death by activating the AGER-NFKB pathway. Autophagy. 2024 Jul 4. 10.1080/15548627.2024.2372215.
[6] ZBP1 condensate formation synergizes Z-NAs recognition and signal transduction. Cell Death Dis. 2024 Jul 9. 10.1038/s41419-024-06889-y.
[7] Pancreatic STAT5 activation promotes Kras G12D -induced and inflammation-induced acinar-to-ductal metaplasia and pancreatic cancer. Gut. 2024 Jul 01. 10.1136/gutjnl-2024-332225



