15 年
手机商铺
公司新闻/正文
647 人阅读发布时间:2025-01-10 11:06
靶点:MALT1
应用:调控GPX4蛋白稳定性,诱导肝癌细胞铁死亡
来源:Deciphering the role of the MALT1-RC3H1 axis in regulating GPX4 protein stability. Proc Natl Acad Sci U S A, 2025 Jan 07.

铁死亡是一种由脂质过氧化积累引发的铁依赖性细胞死亡的独特形式,在癌症治疗中具有巨大前景。尽管 GPX4 在调节铁死亡方面发挥着至关重要的作用,但对 GPX4 蛋白调节的了解仍然有限。通过基于 FACS 的全基因组 CRISPR 筛选,作者确定 MALT1 是 GPX4 蛋白的调节剂。抑制 MALT1 表达可通过上调 E3 泛素连接酶 RC3H1 来增强 GPX4 泛素化介导的降解。通过救援试验和功能性基因筛选,证明药物靶向 MALT1 可引发肝癌细胞中的铁死亡。此外,研究还表明靶向 MALT1 与索拉非尼或瑞戈非尼协同作用,可在多种癌症类型中诱导铁死亡。这些发现阐明了 MALT1-RC3H1 轴对 GPX4 稳定性的调节作用,揭示了可用于诱导铁死亡用于癌症治疗的分子机制。
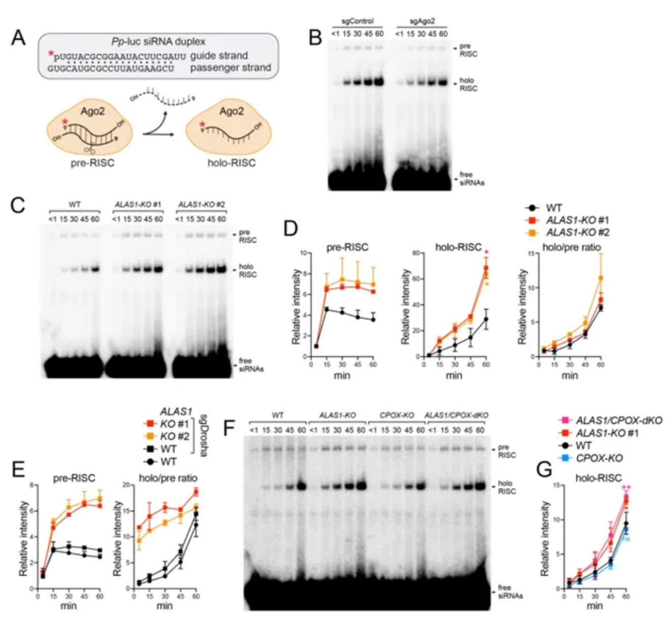
靶点:ALAS1
应用:siRNA 药物的靶点
来源:Noncanonical role of ALAS1 as a heme-independent inhibitor of small RNA-mediated silencing. Science, 2024 Dec 20.

微小 RNA (miRNA) 和小干扰 RNA (siRNA) 是 21 到 22 个核苷酸的 RNA,它们引导 Argonaute 类效应物到达抑制目标。在这项研究中,作者发现 5-氨基乙酰丙_酸合酶 1 (ALAS1),即血红素生物合成的起始酶,是 miRNA 积累的一般抑制因子。尽管已知血红素是核 miRNA 加工机制的正辅助因子,但 ALAS1(而不是其他血红素生物合成酶)限制了血红素充足条件下 Argonaute 复合物的组装和活性。这涉及 ALAS1 的细胞质作用,此前认为 ALAS1 在线粒体外不活跃。此外,小鼠肝细胞中 ALAS 活性的条件性消耗会增加 miRNA 并增强 siRNA 介导的敲除。抑制 ALAS 的药物可作为 siRNA 疗法的佐剂。
靶点:GDF-15
应用:癌症的联合治疗
来源:Neutralizing GDF-15 can overcome anti-PD-1 and anti-PD-L1 resistance in solid tumours. Nature, 2024 Dec 11.

癌症免疫疗法通过抗体阻断免疫检查点分子(如PD-1/PD-L1)在多种癌症中显示出临床效果,但其反应率有限且肿瘤进展常见。肿瘤微环境中的因子如GDF-15会干扰抗肿瘤免疫反应。在临床前模型中,阻断GDF-15可增强抗PD-1疗法的效果。在一项1-2a期临床试验中,对PD-1/PD-L1疗法耐药的晚期癌症患者接受了抗GDF-15抗体visugromab与抗PD-1抗体nivolumab的联合治疗。结果显示,部分非鳞状非小细胞肺癌和尿路上皮癌患者获得了持久且深度的缓解,这些癌症常被GDF-15免疫抑制。治疗期间,肿瘤浸润、增殖、干扰素-γ信号传导和细胞毒性T细胞的颗粒酶B表达水平增加,表明中和GDF-15有望克服癌症对免疫检查点抑制的耐药性。
靶点:ACSL4、Fth
应用:肥胖疗法新靶点
来源:Adipocyte-derived ferroptotic signaling mitigates obesity. Cell Metab, 2024 Dec 21.

铁死亡是一种依赖铁和亲脂性的细胞死亡方式,其在脂肪组织功能中的作用尚不明确。研究发现,肥胖个体和小鼠的脂肪组织中铁死亡特征较低。通过非致死剂量的铁死亡激动剂激活铁死亡信号,可以显著减少脂肪细胞和高脂饮食喂养小鼠的脂质积累。脂肪细胞特异性过表达Acsl4或删除Fth,能够通过激活铁死亡信号保护小鼠免受高脂饮食诱导的脂肪扩张和代谢紊乱。机制上,5,15-DiHETE可激活铁死亡信号,导致HIF1α降解,解除c-Myc-Pgc1β通路对产热程序的抑制。研究表明,激活脂肪组织中的铁死亡信号可能有助于预防和治疗肥胖及其相关代谢紊乱。
靶点:P4HA1
应用:肥胖疗法新靶点
来源:Targeting P4HA1 promotes CD8 + T cell progenitor expansion toward immune memory and systemic anti-tumor immunity. Cancer Cell, 2024 Dec 23.

成功的免疫疗法依赖于肿瘤内和全身免疫,而大多数癌症患者尚未实现这一点。在研究中,作者确定了编码脯氨酰 4-羟化酶 1 的 P4HA1 是 CD8+ T 细胞分化的关键调节剂,在肿瘤引流淋巴结 (TDLN) 和缺氧肿瘤微环境中强烈上调。P4HA1 在线粒体中积累,通过异常的 α-酮戊二酸和琥珀酸代谢破坏三羧酸 (TCA) 循环,促进线粒体不适应和衰竭,同时抑制祖细胞扩增。靶向 P4HA1 可增强过继和内源性 TCF1+ CD8+ T 祖细胞扩增,同时减轻肿瘤、TDLN 和血液中衰竭的发展,从而实现显着且持久的全身抗癌免疫。癌症中 CD8+ T 细胞中的 P4HA1 诱导可协调免疫逃逸程序,为实体肿瘤的系统免疫治疗提供 T 细胞导向靶点。
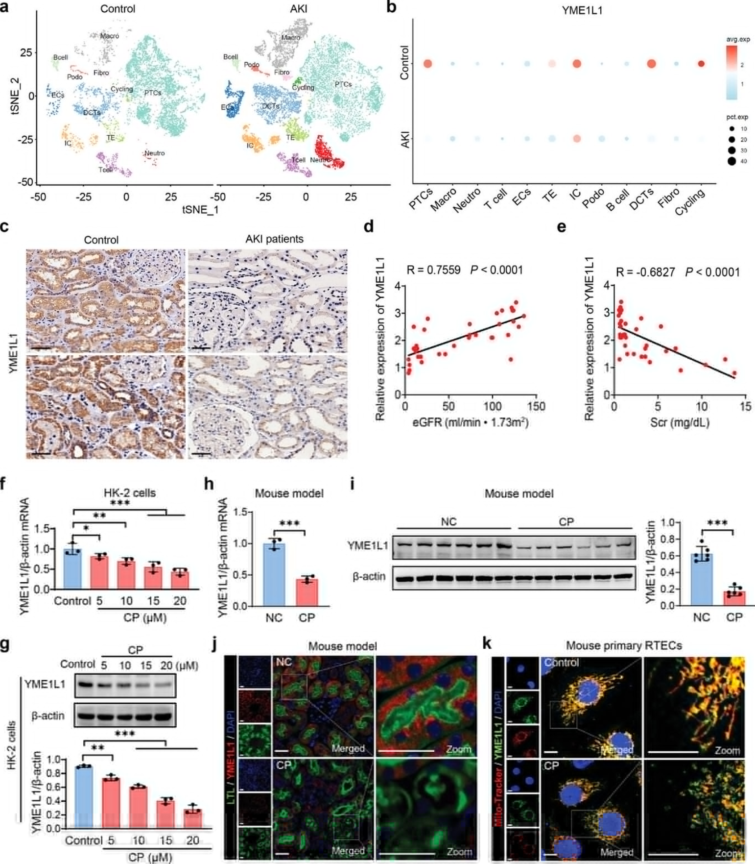
靶点:YME1L1
应用:急性肾损伤(AKI)治疗靶点
来源:SREBP1c-Mediated Transcriptional Repression of YME1L1 Contributes to Acute Kidney Injury by Inducing Mitochondrial Dysfunction in Tubular Epithelial Cells. Adv Sci (Weinh). 2024 Dec 16.

急性肾损伤(AKI)是一种常见且严重的临床综合征,线粒体功能障碍是其关键特征之一。研究发现,YME1L1 ATPase在AKI患者的肾小管上皮细胞中表达下调,恢复其表达可以维持线粒体能量代谢稳态,从而缓解顺铂诱导的AKI及其向慢性肾脏病(CKD)的进展。机制上,顺铂通过上调SREBP1c抑制YME1L1的转录,而METTL3介导的m6A修饰增强了SREBP1c mRNA的稳定性。抑制SREBP1c或特异性过表达YME1L1可以改善AKI及其向CKD的转变。这些发现提示,针对SREBP1c/YME1L1信号通路可能是治疗AKI的新策略。
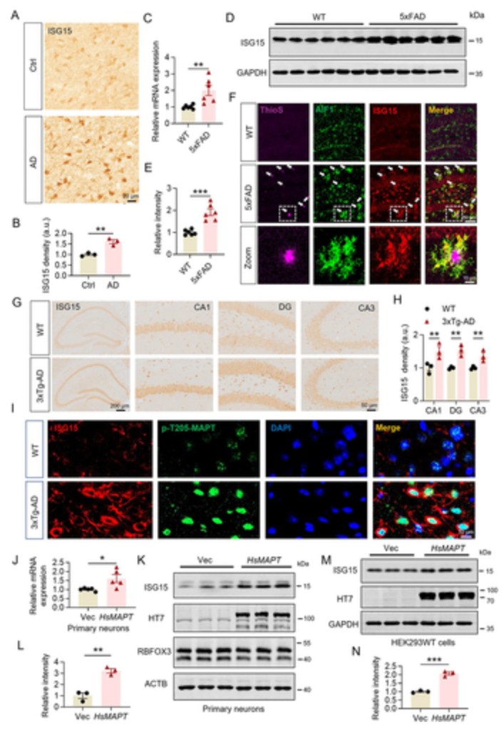
靶点:ISG15
应用:阿尔茨海默病的治疗靶点
来源:Upregulation of ISG15 induced by MAPT/tau accumulation represses autophagic flux by inhibiting HDAC6 activity: a vicious cycle in Alzheimer disease. Autophagy, 2024 Dec 24.

阿尔茨海默病(AD)是一种常见的老年人神经退行性疾病,其特征是自噬功能缺陷导致Tau蛋白积累。研究表明,ISG15在散发性AD患者和AD模型的大脑中水平升高。ISG15过表达通过与HDAC6结合抑制其活性,导致CTTN乙酰化增加,破坏了CTTN和F-肌动蛋白向溶酶体的募集,损害了自噬体与溶酶体的融合,进而导致Tau蛋白积累、突触损伤、神经元丢失和认知缺陷。相反,ISG15敲低可以恢复HDAC6活性,促进自噬体与溶酶体的融合,并改善认知功能。这项研究确定ISG15是AD中自噬通量的关键调节器,提示针对ISG15介导的自噬可能为AD治疗提供新途径。
靶点:ISAMHD1
应用:阿尔茨海默病的治疗靶点
来源:Nuclear Overexpression of SAMHD1 Induces M Phase Stalling in Hepatoma Cells and Suppresses HCC Progression by Interacting with the Cohesin Complex. Adv Sci (Weinh), 2024 Dec 16.

研究表明,SAMHD1蛋白在肝细胞癌(HCC)中的表达与其在肿瘤细胞中的作用及其潜在机制相关。研究发现,在187名原发性HCC患者的肿瘤组织中,核SAMHD1蛋白水平较肿瘤旁组织增加,且在晚期肿瘤阶段核SAMHD1水平下降,较高的核SAMHD1染色与良好预后相关。在小鼠模型中,肝细胞特异性SAMHD1敲除会加速DEN诱发的HCC进展。在肝癌细胞系中,SAMHD1的核过表达通过阻止有丝分裂来抑制细胞增殖,与其dNTPase功能无关。机制上,SAMHD1与细胞核中的黏连蛋白复合物相互作用,增强姊妹染色单体黏连,延迟中期进展。研究表明,核SAMHD1通过调节有丝分裂在减缓HCC进展中起关键作用,提示其作为治疗靶点的潜力。
靶点:RUNX2
应用:骨质疏松药物潜在靶点
来源:RUNX2 Phase Separation Mediates Long-Range Regulation Between Osteoporosis-Susceptibility Variant and XCR1 to Promote Osteoblast Differentiation. Adv Sci (Weinh), 2024 Dec 20.

GWAS已经鉴定出许多与骨质疏松相关的位点,但其背后的基因调控机制和潜在的药物靶点还有待进一步研究。本文发现了一种新的调控机制,即GWAS基因间SNP(rs4683184)作为增强子影响转录因子RUNX2的结合亲和力,而RUNX2的相分离可以介导增强子与靶基因XCR1(GPCR家族成员)之间的长距离染色质相互作用,从而导致XCR1表达改变和成骨细胞分化。Xcr1的骨靶向AAV可以改善骨质疏松小鼠的骨形成,提示XCR1可能是一个新的骨质疏松易感基因。本研究首次将非编码SNP与相分离联系起来,为复杂疾病易感性的长距离染色质调控机制提供了新的见解,为骨质疏松药物研发和相应的转化研究找到了潜在的靶点。
靶点:TACO1
应用:抑制膀胱癌细胞的干性和顺铂耐药性
来源:Enhanced Oxidative Phosphorylation Driven by TACO1 Mitochondrial Translocation Promotes Stemness and Cisplatin Resistance in Bladder Cancer. Adv Sci (Weinh), 2024 Dec 10.

化疗耐药性是膀胱癌治疗中的一个主要难题。研究表明,线粒体细胞色素氧化酶亚基1(TACO1)的翻译激活因子与膀胱癌细胞的干性和顺铂耐药性有关。具体机制为,线粒体TACO1通过增强线粒体细胞色素c氧化酶I(MTCO1)的翻译,上调氧化磷酸化(OXPHOS),促进线粒体活性氧(mtROS)的产生,从而驱动癌症干性和顺铂耐药性。TACO1的线粒体易位是由热休克蛋白90β(HSP90β)介导的,需要circFOXK2作为TACO1-HSP90β相互作用的支架。TACO1-circFOXK2-HSP90β结合位点的突变会扰乱三元复合物,抑制MTCO1/OXPHOS/mtROS轴,从而抑制膀胱癌细胞的干性和顺铂耐药性。临床上,线粒体TACO1表达增加的膀胱癌患者对顺铂治疗反应不佳。这项研究为减轻膀胱癌的顺铂耐药性提供了潜在靶点,并为预测顺铂反应提供了生物标志物。
推荐产品
| 靶点 | 重组蛋白 | 货号 |
| ACSL4 | Recombinant Mouse Long-chain-fatty-acid--CoA ligase 4 (Acsl4), partial | CSB-EP879427MO |
| ALAS1 | Recombinant Mouse 5-aminolevulinate synthase, nonspecific, mitochondrial (Alas1) | CSB-EP844984MO |
| Fth1 | Recombinant Human Ferritin heavy chain (FTH1) | CSB-EP009030HU1 |
| GDF15 | Recombinant Human Growth/differentiation factor 15 (GDF15), partial | CSB-EP859530HU |
| Recombinant Mouse Growth/differentiation factor 15 (Gdf15) | CSB-MP859530MO | |
| ISG15 | Recombinant Bovine Ubiquitin-like protein ISG15 (ISG15) | CSB-EP011843BO |
| Recombinant Human Ubiquitin-like protein ISG15 (Isg15) | CSB-EP011843HU | |
| Recombinant Mouse Ubiquitin-like protein ISG15 (Isg15) | CSB-MP723739MO | |
| MALT1 | Recombinant Human Mucosa-associated lymphoid tissue lymphoma translocation protein 1 (MALT1), partial | CSB-EP866213HU |
| P4HA1 | Recombinant Human Prolyl 4-hydroxylase subunit alpha-1 (P4HA1) | CSB-EP017339HU |
| RUNX2 | Recombinant Human Runt-related transcription factor 2 (RUNX2) | CSB-EP020594HU |
| SAMHD1 | Recombinant Mouse SAM domain and HD domain-containing protein 1 (SAMHD1), partial | CSB-EP020691MO |
| TACO1 | Recombinant Human Translational activator of cytochrome c oxidase 1 (TACO1) | CSB-EP861127HU |
| YME1L1 | Recombinant Human ATP-dependent zinc metalloprotease YME1L1 (YME1L1), partial | CSB-EP853509HU1 |
参考文献:
[1] Deciphering the role of the MALT1-RC3H1 axis in regulating GPX4 protein stability. Proc Natl Acad Sci U S A, 2025 Jan 07.
[2] Noncanonical role of ALAS1 as a heme-independent inhibitor of small RNA-mediated silencing. Science, 2024 Dec 20.
[3] Neutralizing GDF-15 can overcome anti-PD-1 and anti-PD-L1 resistance in solid tumours. Nature, 2024 Dec 11.
[4] Adipocyte-derived ferroptotic signaling mitigates obesity. Cell Metab, 2024 Dec 21.
[5] Targeting P4HA1 promotes CD8 + T cell progenitor expansion toward immune memory and systemic anti-tumor immunity. Cancer Cell, 2024 Dec 23.
[6] SREBP1c-Mediated Transcriptional Repression of YME1L1 Contributes to Acute Kidney Injury by Inducing Mitochondrial Dysfunction in Tubular Epithelial Cells. Adv Sci (Weinh). 2024 Dec 16.
[7] Upregulation of ISG15 induced by MAPT/tau accumulation represses autophagic flux by inhibiting HDAC6 activity: a vicious cycle in Alzheimer disease. Autophagy, 2024 Dec 24.
[8] Nuclear Overexpression of SAMHD1 Induces M Phase Stalling in Hepatoma Cells and Suppresses HCC Progression by Interacting with the Cohesin Complex. Adv Sci (Weinh), 2024 Dec 16.
[9] RUNX2 Phase Separation Mediates Long-Range Regulation Between Osteoporosis-Susceptibility Variant and XCR1 to Promote Osteoblast Differentiation. Adv Sci (Weinh), 2024 Dec 20.
[10] Enhanced Oxidative Phosphorylation Driven by TACO1 Mitochondrial Translocation Promotes Stemness and Cisplatin Resistance in Bladder Cancer. Adv Sci (Weinh), 2024 Dec 10.