15 年
手机商铺
公司新闻/正文
402 人阅读发布时间:2019-12-09 16:57

武汉华美生物工程有限公司成立于2007年12月,是一家集科研、生产、销售为一体的生物高新技术企业。并形成了以CUSABIO为品牌的ELISA试剂盒、蛋白、抗体等多种优质产品,远销欧美日德等九十多个国家。
我们非常欣喜地看到华美的产品被越来越多的国际知名科研院所的科学家们所使用,并助力推进他们的科学研究,同时也被SCI顶级文献的审稿人认可。
2019年11月(2019.11.1-11.30)部分产品引用文献整理如下,查看华美所有产品引用文献,请点击阅读原文或以下网址:
http://www.cusabio.cn/technical_show_4.html
BRIT J PHARMACOL(IF:6.583)
标题:
明星产品:
Human Reticulon-4(RTN4) ELISA kit
(CSB-EL020572HU)
检测范围:46.88 pg/mL-3000 pg/mL
灵敏度:11.75 pg/mL

Cancer Letters(IF:6.508)
标题:
明星产品:
人脂多糖/内毒素(LPS)ELISA Kit
(CSB-E09945h)
检测范围:6.25 pg/mL-400 pg/mL
灵敏度: 1.56 pg/mL

CELL DEATH DIS(IF:5.959)
标题:
明星产品:
检测范围:47 μU/mL-3000 μU/mL
灵敏度:11.75 μU/mL

Cells(IF:5.656)
标题:
Phosphatidylethanolamine-Binding Protein 1 Ameliorates Ischemia-Induced Inflammation and Neuronal Damage in the Rabbit Spinal Cord
明星产品:
兔子髓过氧化物酶(MPO)ELISA Kit
(CSB-E13689Rb)
检测范围:1.25 ng/mL-20 ng/mL
灵敏度: 1.25 pg/mL
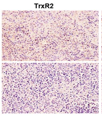
FREE RADICAL BIO MED(IF:5.657)
标题:
明星产品:
TXNRD2 Antibody
(CSB-PA885675ESR2HU)
种属反应性:Human, Mouse
应用范围:ELISA, WB, IHC

NFKBIA Antibody
(CSB-PA010535)
种属反应性:Human, Mouse, Rat
应用范围:ELISA, WB, IHC, IF
Phospho-NFKBIA (S32/S36) Antibody
(CSB-PA000559)
种属反应性:Human, Mouse, Rat, Monkey
应用范围:ELISA, WB, IHC, IF
CASP3 Antibody
(CSB-PA001231)
种属反应性:Human, Mouse, Rat
应用范围:ELISA, WB, IHC, IF

The Faseb Journal(IF:5.391)
标题:
明星产品:
INS Antibody
(CSB-PA12089A0Rb)
种属反应性:Human
应用范围:ELISA, IHC

Electrochimica Acta(IF:5.383)
标题:
Stable thin films of human P53 antigen on gold surface for the detection of tumour associated anti-P53 autoantibodies
明星产品:
TP53 Monoclonal Antibody
(CSB-MA0240771A0m)
种属反应性:Human
应用范围:ELISA, WB, IHC

J CELL MOL MED(IF:4.658)
标题:
Deficiency of Macf1 in osterix expressing cells decreases bone formation by Bmp2/Smad/Runx2 pathway
明星产品:
COL1A1 Antibody
(CSB-PA005727OA01HU)
种属反应性:Human
应用范围:ELISA, IF

Electrochimica Acta(IF:5.383)
标题:
Stable thin films of human P53 antigen on gold surface for the detection of tumour associated anti-P53 autoantibodies
明星产品:
Recombinant Human Cellular tumor antigen p53(TP53)
(CSB-EP024077HU)
蛋白来源:E.coli
蛋白标签:N-terminal 6xHis-SUMO-tagged

J AM HEART ASSOC(IF: 4.66)
标题:
明星产品:
Recombinant Rat Alpha-2 antiplasmin(Serpinf1)
(CSB-EP021084RA)
蛋白来源:E.coli
蛋白标签:N-terminal GST-tagged

注:由于SCI各期刊被Google收录的效率和频率不一样,很可能本月会收到一些较早时间发表的文章。此处文章整理,只为方便科研人员了解CUSABIO产品。
—END—
——华美生物·让科研变得有温度!——
